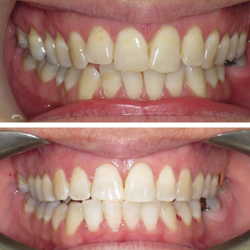
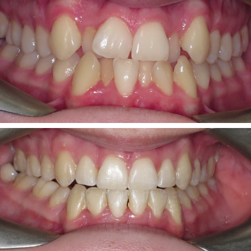
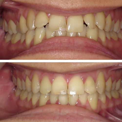
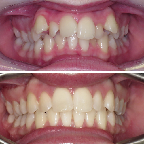
Our Results
At Orthodontist Direct, we pride ourselves on delivering exceptional orthodontic care, resulting in beautiful, confident smiles. Below, you’ll find a selection of real patient transformations from our clinics, highlighting the effectiveness of our treatments.


