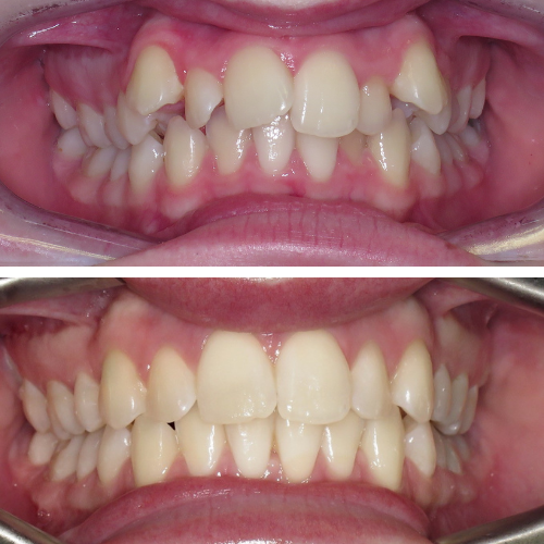
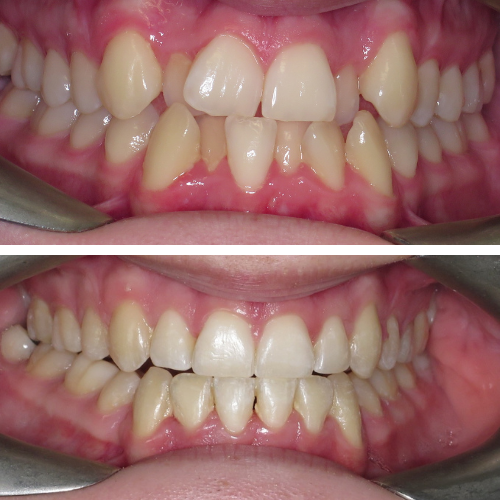
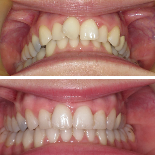
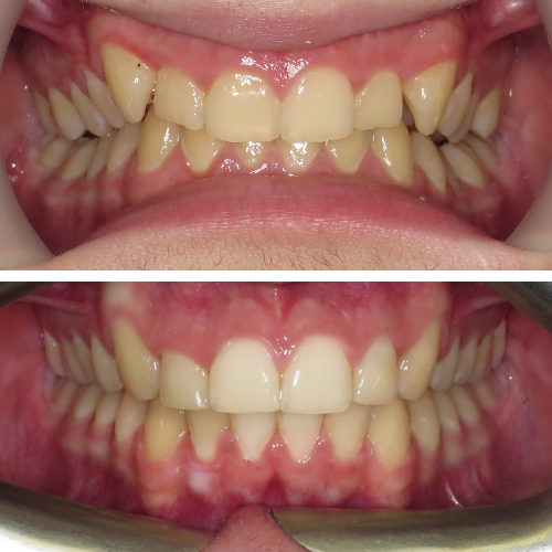
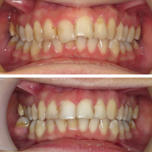
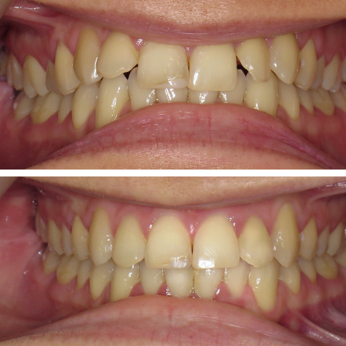
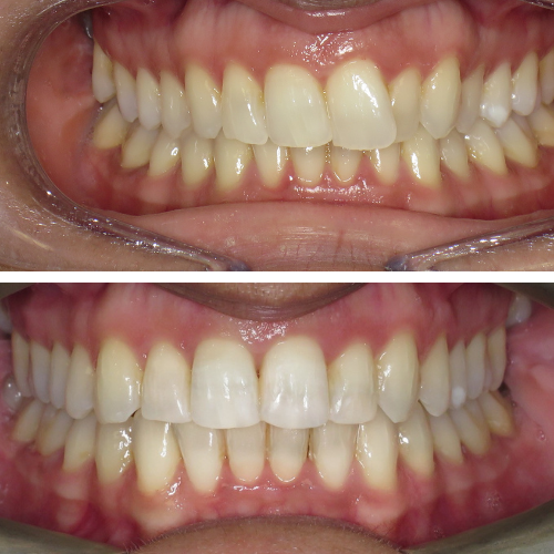
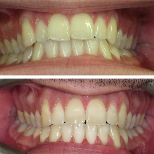
Orthognathic treatment combines fixed braces with planned jaw surgery to correct significant bite and jaw problems that braces alone can’t fix. It can help if your upper and lower jaws don’t line up properly, causing issues with chewing, speech, facial balance or long-term tooth wear. Braces are used to carefully align the teeth before and after surgery, so everything fits together in a stable, comfortable bite.
Led by a specialist orthodontist working closely with an oral and maxillofacial surgeon, orthognathic treatment is a longer, more advanced journey – but for the right patient it can be truly life-changing. As well as improving function, it can enhance your facial profile and confidence. At your consultation, we’ll assess your bite, take detailed scans and talk you through whether this type of treatment is appropriate for your goals.

















